Dental Place

Εμφυτεύματα

Εμφυτεύματα δοντιών

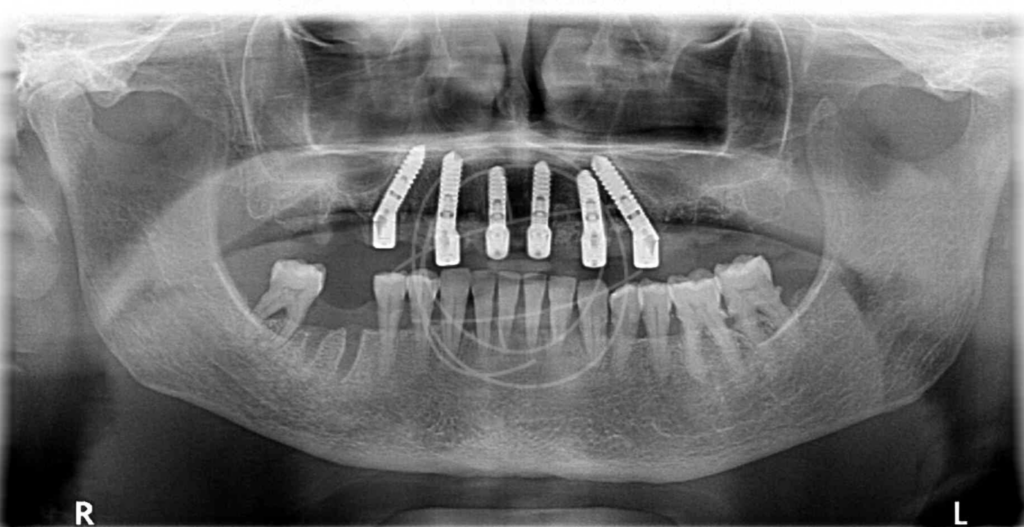
Τα οδοντικά εμφυτεύματα έχουν μεταμορφώσει τη σύγχρονη οδοντιατρική από την ανακάλυψη της οστεοενσωμάτωσης από τον Per-Ingvar Brånemark το 1952, της διαδικασίας όπου το τιτάνιο συντήκεται φυσικά με το οστό. Αυτή η ανακάλυψη οδήγησε στα πρώτα επιτυχημένα εμφυτεύματα τιτανίου το 1965, αποδεικνύοντας τη μακροπρόθεσμη σταθερότητα και ασφάλειά τους. Σήμερα, τα οστεοενσωματωμένα οδοντικά εμφυτεύματα τιτανίου αποτελούν μια αξιόπιστη, ευρέως χρησιμοποιούμενη λύση για την αποκατάσταση ελλειπουσών δοντιών και τη θεραπεία σύνθετων στοματικών παθήσεων.

Είναι σήμερα η πιο σύγχρονη και αξιόπιστη λύση για να αντικαταστήσουμε δόντια που έχουν χαθεί ή έχουν καταστραφεί. Σε σχέση με τις παραδοσιακές μασέλες ή τις γέφυρες, προσφέρουν μια μόνιμη, σταθερή και πολύ

Σε αντίθεση με τις γέφυρες, που συχνά απαιτούν τρόχισμα των διπλανών φυσικών δοντιών και δεν εφαρμόζουν πάντα με απόλυτη ακρίβεια, τα εμφυτεύματα λειτουργούν αυτόνομα. Έτσι προστατεύεται η συνολική στοματική υγεία και αποκαθίσταται πλήρως η λειτουργία του στόματος, με αποτέλεσμα που διαρκεί.

254254523
Εμφυτεύματα
Εμφυτεύματα
25235235
2452453245
Εμφυτεύματα
Εμφυτεύματα
Εμφυτεύματα

Τι είναι ένα οδοντικό εμφύτευμα;

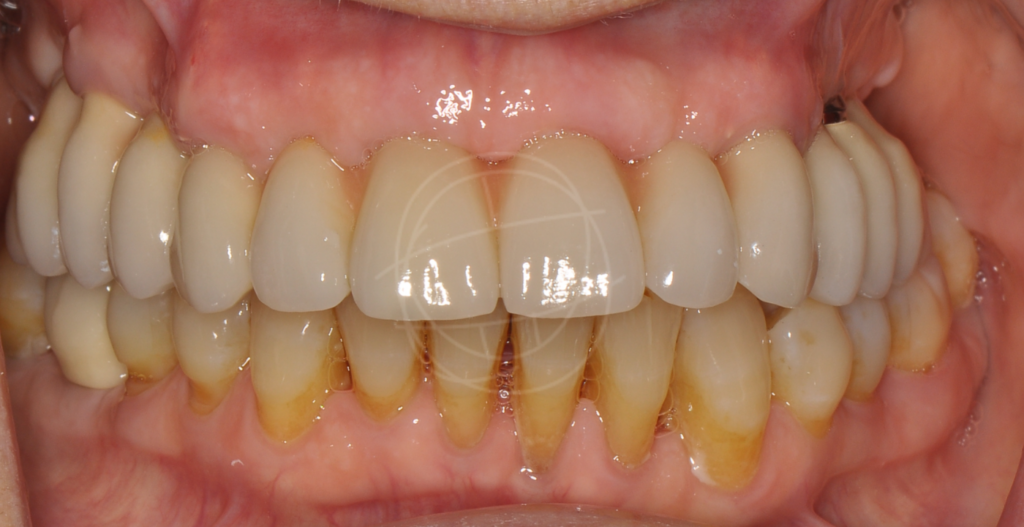
Ένα οδοντικό εμφύτευμα είναι μια «τεχνητή ρίζα» από βιοσυμβατό τιτάνιο, που τοποθετείται χειρουργικά στο οστό της γνάθου. Πάνω του στηρίζεται μια στεφάνη (το «τεχνητό δόντι»), η οποία μοιάζει και λειτουργεί όπως ένα φυσικό δόντι. Γι’ αυτό και συχνά τα εμφυτεύματα θα τα ακούσετε ως «βιδωτά» ή «φυτευτά» δόντια.

Η προσέγγιση που ακολουθούμε βασίζεται σε επιστημονικά πρωτόκολλα και εξατομικευμένο σχεδιασμό, ώστε κάθε ασθενής να έχει ένα φυσικό και μακροχρόνια επιτυχημένο αποτέλεσμα.

Πλεονεκτήματα των εμφυτευμάτων

Τα οδοντικά εμφυτεύματα έχουν πολλά σημαντικά πλεονεκτήματα και γι’ αυτό θεωρούνται κορυφαία επιλογή αποκατάστασης. Σε σχέση με άλλες λύσεις (κινητές οδοντοστοιχίες/μασέλες ή γέφυρες), υπερτερούν σχεδόν σε όλα:

Φυσική εμφάνιση και αίσθηση

Μοιάζουν απόλυτα με φυσικά δόντια σε εμφάνιση και λειτουργία — συνήθως κανείς δεν καταλαβαίνει τη διαφορά.

Αύξηση αυτοπεποίθησης

Ένα σταθερό και όμορφο χαμόγελο βοηθά σημαντικά στην αυτοεκτίμηση και στην καθημερινότητα.

Σταθερότητα και άνεση στην ομιλία

Δεν μετακινούνται όπως μπορεί να συμβεί με μια μασέλα, οπότε μιλάτε με σιγουριά.

Καλύτερη μάσηση

Η δύναμη μάσησης επανέρχεται σε φυσιολογικά επίπεδα, χωρίς περιορισμούς στις τροφές.

Προστασία της οστικής μάζας

Επειδή αντικαθιστούν τη ρίζα του δοντιού, βοηθούν να διατηρείται το οστό «ενεργό» και μειώνουν την οστική απορρόφηση.

Προστασία των διπλανών δοντιών

Δεν χρειάζεται τρόχισμα υγιών δοντιών, όπως στις γέφυρες.

Αντοχή στον χρόνο

Τα υλικά τους (τιτάνιο κ.ά.) είναι υψηλής αντοχής, για μακροχρόνια σταθερότητα.

Λιγότερες επιδιορθώσεις

Συνήθως απαιτούν λιγότερη συντήρηση σε βάθος χρόνου σε σχέση με άλλες λύσεις.

Δεν αφαιρούνται

Σε αντίθεση με τις κινητές οδοντοστοιχίες, τα εμφυτεύματα είναι σταθερά και δεν βγαίνουν καθημερινά.

Υψηλό επίπεδο υγιεινής

Καθαρίζονται όπως τα φυσικά δόντια, χωρίς ειδικές διαδικασίες.

Ραντεβού
1.
Άνεση
2.
Φιλικό περιβάλλον
3.
Ποιότητα υπηρεσιών

Προγραμματίστε την επίσκεψή σας σήμερα και αποκτήστε ένα υγιές και όμορφο χαμόγελο για πάντα!

Οδοντιατρική κλινική Dental Place
235235325
Κύλιση στην κορυφή