Dental Place

Σύγκλειση

Οδοντιατρική σύγκλειση (Occlusion)

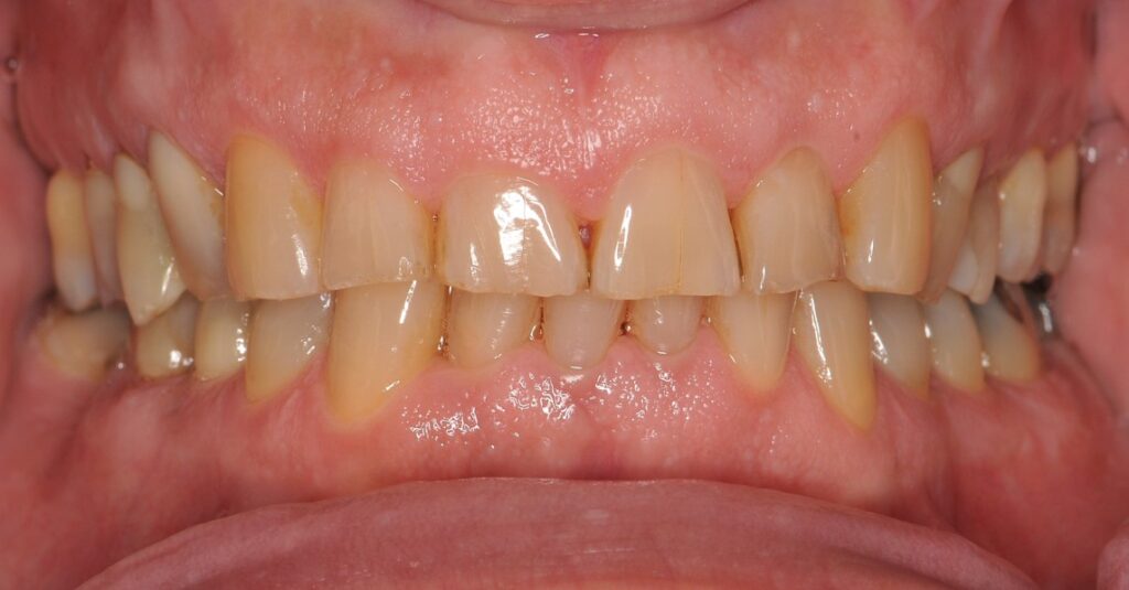
Η οδοντιατρική σύγκλειση είναι ο τρόπος με τον οποίο έρχονται σε επαφή τα δόντια της άνω και της κάτω γνάθου όταν κλείνουμε το στόμα, όταν καταπίνουμε και όταν μασάμε. Με απλά λόγια, είναι το «πώς κουμπώνουν» τα δόντια μας μεταξύ τους.

Η σύγκλειση δεν αφορά μόνο τα δόντια. Επηρεάζει τη γνάθο, τις κροταφογναθικές αρθρώσεις (ΚΓΔ), τους μυς της μάσησης και τελικά τη συνολική άνεση του στόματος στην καθημερινή λειτουργία.

252352355
qwrqwer
qrqrqwerqwerq
οδοντιατρική σύγκλειση
οδοντιατρική σύγκλειση
οδοντιατρική σύγκλειση
οδοντιατρική σύγκλειση

Γιατί είναι σημαντική η σωστή σύγκλειση;

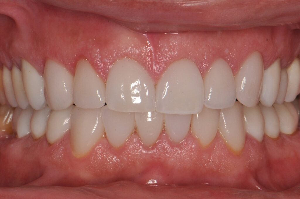
Όταν τα δόντια έρχονται σε επαφή με ισορροπημένο τρόπο, το στόμα λειτουργεί ομαλά και χωρίς υπερβολικές πιέσεις. Μια σωστή σύγκλειση βοηθά:

στη σωστή μάσηση και καλύτερη κατανομή των δυνάμεων

στη σταθερότητα των δοντιών και των αποκαταστάσεων (σφραγίσματα, στεφάνες, γέφυρες, εμφυτεύματα)

στην προστασία των δοντιών από φθορές, ρωγμές ή κατάγματα

στη μείωση καταπόνησης των μυών και της κροταφογναθικής άρθρωσης

στη μακροχρόνια υγεία των ούλων και του περιοδοντίου

Τι μπορεί να δείχνει ότι υπάρχει πρόβλημα σύγκλεισης;

Μερικά συχνά σημάδια που αξιολογούμε στην κλινική είναι:

πόνος ή “κούραση” στη γνάθο, ειδικά το πρωί

πονοκέφαλοι ή πόνος στους κροτάφους

“κλικ” ή τρίξιμο στην άρθρωση της γνάθου

τριγμός/σφίξιμο δοντιών (βρουξισμός)

ευαισθησία σε δόντια χωρίς προφανή αιτία

φθορές/επίπεδες επιφάνειες στα δόντια

σπασίματα σε σφραγίσματα ή αποκαταστάσεις που «χαλαρώνουν» συχνά

αίσθηση ότι «δεν κλείνει σωστά» το στόμα ή ότι κάποιο δόντι βρίσκει πρώτο

Πώς γίνεται ο έλεγχος της σύγκλεισης;

Ο έλεγχος είναι κλινικός και εξατομικευμένος. Συνήθως περιλαμβάνει:

εξέταση επαφών με ειδικά χαρτάκια σύγκλεισης

αξιολόγηση της κίνησης της γνάθου και της κροταφογναθικής άρθρωσης

έλεγχο φθορών, ρωγμών και σημείων υπερφόρτισης

όπου χρειάζεται, ψηφιακή καταγραφή ή μελέτη σε εκμαγεία/σάρωση

αξιολόγηση της σύγκλεισης πριν και μετά από εργασίες όπως στεφάνες, γέφυρες ή εμφυτεύματα

Πώς αντιμετωπίζεται μια δυσλειτουργική σύγκλειση;

Η θεραπεία εξαρτάται από την αιτία και τη βαρύτητα. Ενδεικτικά μπορεί να περιλαμβάνει:

νάρθηκα βρουξισμού για προστασία των δοντιών και αποσυμφόρηση μυών/άρθρωσης

επιλεκτική εξισορρόπηση (μικρές διορθώσεις επαφών) όταν ενδείκνυται

ορθοδοντική αντιμετώπιση σε περιπτώσεις κακής σύγκλεισης (π.χ. σταυροειδής, προγναθισμός, συγχρωτισμός)

αποκατάσταση φθορών με ρητίνες/στεφάνες όταν υπάρχει μεγάλη απώλεια οδοντικής ουσίας

προσεκτικό σχεδιασμό αποκαταστάσεων σε εμφυτεύματα, ώστε να μην υπερφορτίζονται

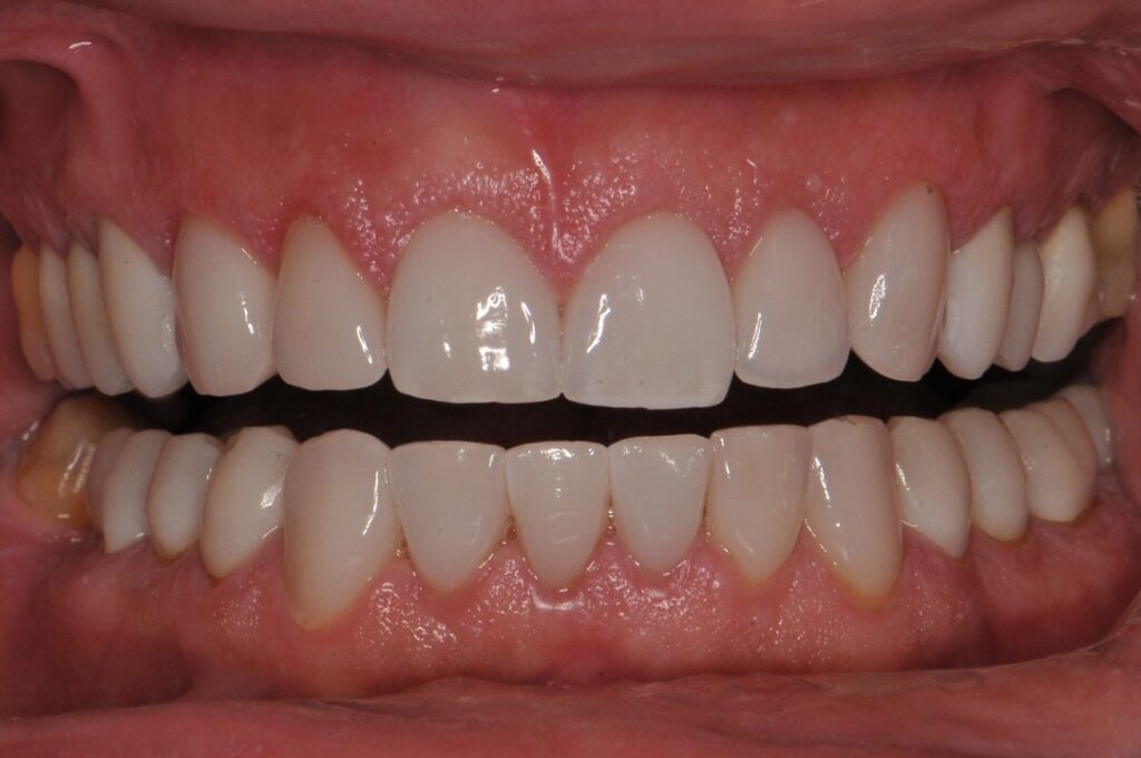
Στόχος μας είναι μια σύγκλειση που να είναι λειτουργική, άνετη και σταθερή, χωρίς να επιβαρύνει δόντια και αρθρώσεις.

Πότε να κάνετε έλεγχο σύγκλεισης;

Ένας έλεγχος είναι ιδιαίτερα χρήσιμος όταν:

έχετε συμπτώματα (πόνο, κλικ, πονοκεφάλους, φθορές)

πρόκειται να γίνει εκτεταμένη εργασία (στεφάνες/γέφυρες/εμφυτεύματα)

υπάρχει ιστορικό βρουξισμού

παρατηρείτε αλλαγές στο «πώς κλείνει» το στόμα με τον χρόνο

Κλείστε ραντεβού για αξιολόγηση
1.
Άνεση
2.
Φιλικό περιβάλλον
3.
Ποιότητα υπηρεσιών

Αν υποψιάζεστε ότι η σύγκλεισή σας δεν είναι ισορροπημένη ή έχετε ενοχλήσεις στη γνάθο/δόντια, ένας στοχευμένος έλεγχος μπορεί να δώσει ξεκάθαρη εικόνα και λύσεις προσαρμοσμένες σε εσάς.

Οδοντιατρική κλινική Dental Place
235235325
Κύλιση στην κορυφή