Dental Place

Αισθητική οδοντιατρική

Αισθητική Οδοντιατρική

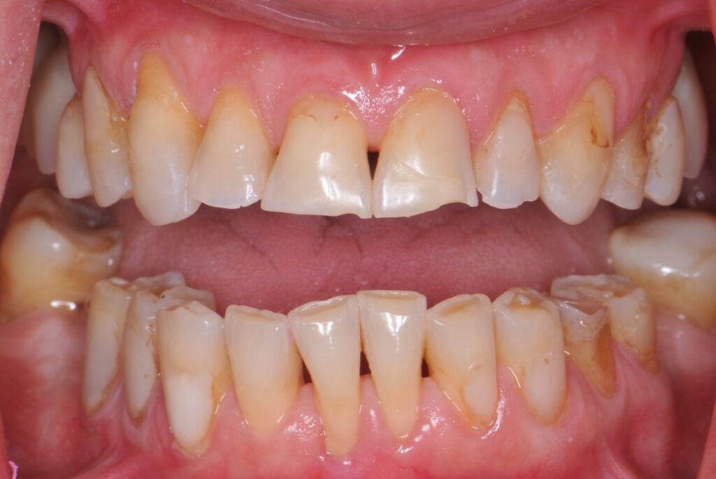
Η αισθητική οδοντιατρική αποτελεί έναν εξειδικευμένο τομέα της σύγχρονης οδοντιατρικής, που εστιάζει στη βελτίωση της εμφάνισης του χαμόγελου, διατηρώντας παράλληλα τη λειτουργικότητα και τη βιολογική ισορροπία του στόματος. Στόχος μας δεν είναι απλώς ένα λευκότερο χαμόγελο, αλλά ένα αρμονικό αποτέλεσμα που ενσωματώνεται φυσικά στα χαρακτηριστικά του προσώπου σας.

Η σύγχρονη προσέγγιση συνδυάζει επιστημονική γνώση, προηγμένη τεχνολογία και βιοσυμβατά υλικά υψηλής ποιότητας, εξασφαλίζοντας ασφαλή, ανθεκτικά και αισθητικά άρτια αποτελέσματα.

qerewrqwe
qeqrrqerweqr
αισθητική οδοντιατρική
αισθητική οδοντιατρική
αισθητική οδοντιατρική
αισθητική οδοντιατρική
αισθητική οδοντιατρική

Τι μπορεί να διορθώσει η αισθητική οδοντιατρική;

Η αισθητική αποκατάσταση μπορεί να αντιμετωπίσει:

Τερηδόνες με σύνθετες ρητίνες στο χρώμα του δοντιού

Σπασίματα ή ρωγμές δοντιών

Αποχρωματισμούς και δυσχρωμίες

Διάκενα (κενά) μεταξύ των δοντιών

Ασύμμετρα ή δυσμορφικά δόντια

Παλαιές, εμφανείς αποκαταστάσεις

Κάθε παρέμβαση σχεδιάζεται εξατομικευμένα, ώστε να εξασφαλίζεται φυσικότητα, συμμετρία και ισορροπία.

Θεραπείες Αισθητικής Οδοντιατρικής

Ανάλογα με τις ανάγκες σας, οι διαθέσιμες επιλογές περιλαμβάνουν:

Λεύκανση δοντιών

Ασφαλής και ελεγχόμενη διαδικασία για την απομάκρυνση χρωστικών και την επαναφορά της φυσικής φωτεινότητας των δοντιών.

Όψεις πορσελάνης ή ρητίνης

Λεπτές προσθετικές επιφάνειες που τοποθετούνται στην πρόσθια επιφάνεια των δοντιών για άμεση βελτίωση σχήματος, χρώματος και συμμετρίας.

Αισθητικές εμφράξεις (λευκά σφραγίσματα)

Αποκατάσταση τερηδονισμένων δοντιών με υλικά που μιμούνται τη φυσική διαφάνεια και απόχρωση του δοντιού.

Ολοκεραμικές στεφάνες και γέφυρες

Υψηλής αισθητικής αποκαταστάσεις που συνδυάζουν αντοχή και φυσική όψη, χωρίς μεταλλικό υπόστρωμα.

Μικροαισθητικές παρεμβάσεις (bonding)

Ελάχιστα επεμβατικές τεχνικές για άμεση διόρθωση μικρών ατελειών.

Η σημασία της φυσικότητας

Στην αισθητική οδοντιατρική, το ζητούμενο δεν είναι η υπερβολή αλλά η ισορροπία. Ένα επιτυχημένο αποτέλεσμα:

Σέβεται τη μορφολογία των δοντιών

Εναρμονίζεται με τα χείλη και το πρόσωπο

Διατηρεί τη σωστή σύγκλειση

Εξασφαλίζει μακροχρόνια σταθερότητα

Η σωστή λειτουργία προηγείται της αισθητικής.
Ένα όμορφο χαμόγελο πρέπει ταυτόχρονα να είναι άνετο, λειτουργικό και βιολογικά ασφαλές.

Ψηφιακός Σχεδιασμός Χαμόγελου

Με τη βοήθεια ψηφιακής ανάλυσης και φωτογραφικής τεκμηρίωσης, μπορούμε να σχεδιάσουμε το νέο σας χαμόγελο πριν ξεκινήσει η θεραπεία. Έτσι, έχετε σαφή εικόνα του τελικού αποτελέσματος και συμμετέχετε ενεργά στη διαδικασία λήψης αποφάσεων.

Επένδυση στην αυτοπεποίθηση

Το χαμόγελο αποτελεί βασικό στοιχείο της προσωπικής και επαγγελματικής εικόνας. Μέσα από σύγχρονες, ασφαλείς και εξατομικευμένες θεραπείες, δημιουργούμε ένα φωτεινό και φυσικό αποτέλεσμα που ενισχύει την αυτοπεποίθηση και την ποιότητα ζωής.

Ραντεβού
1.
Άνεση
2.
Φιλικό περιβάλλον
3.
Ποιότητα υπηρεσιών

Προγραμματίστε την επίσκεψή σας σήμερα και αποκτήστε ένα υγιές και όμορφο χαμόγελο για πάντα!

Οδοντιατρική κλινική Dental Place
Dr. Πάνος Γάκης DDS, MS, FACP
Κύλιση στην κορυφή