Dental Place

Ολική αποκατάσταση στόματος

Ολική Αποκατάσταση Στόματος

Η ολική αποκατάσταση στόματος αποτελεί μια ολοκληρωμένη και εξατομικευμένη θεραπευτική προσέγγιση που αποσκοπεί στη συνολική επαναφορά της λειτουργίας, της αισθητικής και της υγείας του στοματογναθικού συστήματος. Δεν πρόκειται απλώς για την αποκατάσταση μεμονωμένων δοντιών, αλλά για μια συστηματική ανακατασκευή και των δύο οδοντικών τόξων (άνω και κάτω γνάθου), με στόχο τη δημιουργία μιας αρμονικής, σταθερής και βιολογικά ισορροπημένης σύγκλεισης.

qerqrq
qrqrewr
qrewrqwrewe
qwrqerqwer
ολική αποκατάσταση στόματος
ολική αποκατάσταση στόματος

Πότε είναι απαραίτητη;

Η ολική αποκατάσταση στόματος ενδείκνυται σε περιπτώσεις όπως:

Εκτεταμένη φθορά δοντιών (αποτριβές, διαβρώσεις, βρουξισμός)

Πολλαπλές απώλειες δοντιών

Σοβαρές δυσλειτουργίες σύγκλεισης

Κατάρρευση κάθετης διάστασης σύγκλεισης

Χρόνια προβλήματα στην κροταφογναθική άρθρωση (ΚΓΑ)

Αποτυχημένες παλαιότερες αποκαταστάσεις

Σοβαρά αισθητικά προβλήματα

Στόχοι της θεραπείας

Η ολική αποκατάσταση στοχεύει:

Στην αποκατάσταση της σωστής μασητικής λειτουργίας

Στη δημιουργία σταθερής και ισορροπημένης σύγκλεισης

Στην εξάλειψη πόνου ή δυσλειτουργιών της κροταφογναθικής άρθρωσης

Στη βελτίωση της αισθητικής του χαμόγελου

Στη διατήρηση της υγείας των ούλων και των υποστηρικτικών ιστών

Στην αποκατάσταση της αυτοπεποίθησης του ασθενούς

Διαγνωστική Προσέγγιση

Η επιτυχία μιας ολικής αποκατάστασης βασίζεται στη λεπτομερή διάγνωση και στον προσεκτικό σχεδιασμό. Η διαδικασία περιλαμβάνει:

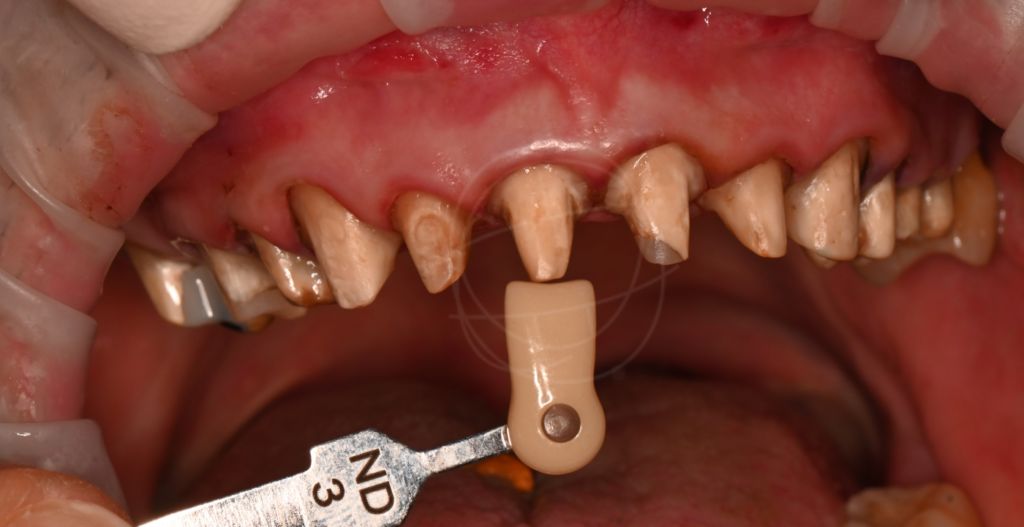
Κλινική εξέταση και ανάλυση σύγκλεισης

Ακτινογραφικό έλεγχο και ψηφιακή απεικόνιση

Φωτογραφική τεκμηρίωση

Λήψη αποτυπωμάτων ή ψηφιακών σαρώσεων

Ανάλυση σε αρθρωτήρα για μελέτη της λειτουργικής σχέσης των γνάθων

Σε ορισμένες περιπτώσεις προηγείται δοκιμαστική φάση (mock-up ή προσωρινές αποκαταστάσεις), ώστε να αξιολογηθεί η νέα σύγκλειση και η αισθητική πριν την οριστική εργασία.

Θεραπευτικά Μέσα

Ανάλογα με τις ανάγκες του ασθενούς, η αποκατάσταση μπορεί να περιλαμβάνει:

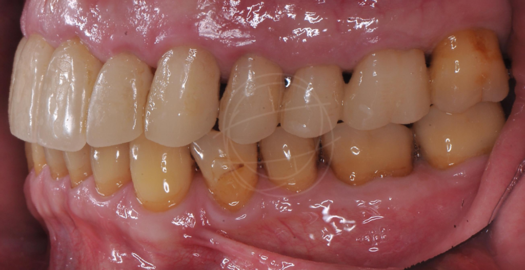
Στεφάνες (θήκες) ολοκεραμικές ή μεταλλοκεραμικές

Γέφυρες

Όψεις πορσελάνης

Εμφυτεύματα

Ένθετα/επένθετα (inlays/onlays)

Ολικές ή μερικές προσθετικές αποκαταστάσεις

Νάρθηκες σύγκλεισης, όπου απαιτείται

Συχνά η θεραπεία είναι διεπιστημονική και μπορεί να συνδυάζει περιοδοντολογία, ενδοδοντία, εμφυτευματολογία και αισθητική οδοντιατρική.

Η σημασία της Κροταφογναθικής Άρθρωσης

Ιδιαίτερη έμφαση δίνεται στη διατήρηση και αποκατάσταση της υγείας της κροταφογναθικής άρθρωσης και των μυών της μάσησης. Η σωστή λειτουργική σχέση των γνάθων είναι καθοριστική για τη μακροχρόνια επιτυχία της θεραπείας και την αποφυγή μελλοντικών προβλημάτων όπως πονοκέφαλοι, μυϊκοί πόνοι ή ήχοι στην άρθρωση.

Εξατομικευμένος Σχεδιασμός

Κάθε περιστατικό είναι μοναδικό. Η θεραπεία σχεδιάζεται με βάση:

Τις λειτουργικές ανάγκες

Την ανατομία του προσώπου

Τις αισθητικές επιθυμίες του ασθενούς

Τη μακροχρόνια πρόγνωση

Στόχος δεν είναι μόνο ένα όμορφο χαμόγελο, αλλά ένα σταθερό, άνετο και βιολογικά ισορροπημένο αποτέλεσμα που θα διαρκέσει στον χρόνο.

Ραντεβού
1.
Άνεση
2.
Φιλικό περιβάλλον
3.
Ποιότητα υπηρεσιών

Προγραμματίστε την επίσκεψή σας σήμερα και αποκτήστε ένα υγιές και όμορφο χαμόγελο για πάντα!

Οδοντιατρική κλινική Dental Place
235235325
Κύλιση στην κορυφή